En 40 años no habrá ningún orangután: ¿quiénes son sus asesinos?
Ahora hay solo 50.000. Ahora es un animal en peligro de extinción; en 40 años podría estarlo completamente. A estos primates, que comparten el 97 por c…
Ahora hay solo 50.000. Ahora es un animal en peligro de extinción; en 40 años podría estarlo completamente. A estos primates, que comparten el 97 por c…
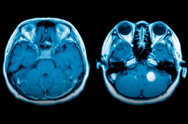
El gadolinio, un químico clave para detectar tumores en el cerebro, está en el centro de la polémica. ¿Es tóxico? Por C. M. Sánchez El gadolinio es un…
Reglas estrictas, celebraciones y un entusiasmo devocional exacerbado son el cemento que cohesiona a los judíos jasídicos de todo el mundo. Un fotó...
La langosta del desierto -la de las plagas bíblicas- amenaza este verano a decenas de países. Por F. U. La langosta es un enemigo implacable, correspo…
La independencia de los territorios del Indostán, ocupados durante dos siglos por los británicos, fue un tortuoso camino que tardó en recorrerse 90 año…
Nació en Bangalore en 1971. Abogada especializada en tecnología. Dirige Digital Asia Hub, un 'think tank' ligado a Harvard con sede en Hong Kong. Ha pa…
El general Henning von Tresckow fue el cerebro del atentado contra Hitler del 20 de julio de 1944, hace ahora 75 años. Su hija publica su correspondenc…
El Premio Nobel de Física Serge Haroche nos da un pequeño cursillo para entender qué es la física cuántica y cuáles han sido sus grandes hitos • Darío…
El 20 de julio de 1944 tuvo lugar la 'Operación Valkiria' uno de los intentos de asesinar a Adolf Hitler. Stauffenberg colocó una bomba en la Guarida d…
El ordenador cuántico hace lo mismo que uno tradicional, pero mucho más rápido. Estas son algunas de las áreas en las que superarán a los ordenadores c…